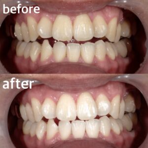
オフィスホワイトニングの症例をご紹介したいと思います🫧
オフィスホワイトニングを受けられた患者様の症例写真になります☺️
こちらの患者様は、オフィスホワイトニングの施術1回でここまで白くなりました✨

※個人差がございます。
今2〜3月限定でホワイトニングキャンペーンを行っておりますので
気になっている方は是非この機会にお試し下さいね♪
🌕2月3月限定🌕
オフィスホワイトニング通常の価格から20%OFF✨
⚠️キャンペーンの注意事項
オフィスホワイトニングは初回のみキャンペーンの対象となります。
※14時から15時半までにご来院できる方のみ対象となります。