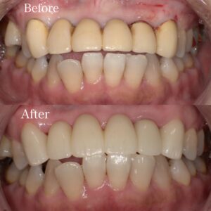
今回はジルコニアに変えられたお客様のビフォーアフターのご紹介です✨
以前の被せものより綺麗な被せものにしたいとの事で
今回はジルコニアのブリッジにしました。
こちらが症例写真になります。

自然な白さで変色もしにくく見た目もより自然に近づきます✨😌
歯がより綺麗になると笑顔も自然と増えますよね🥰
ジルコニアは強度が強いので長持ちしやすいのが特徴です。
金属も使っていないので、金属アレルギーの方にも安心
歯茎が黒くなったりという心配もございません。
以前の被せものより喋りやすくなったのと
何より見た目が綺麗になったことを何より喜んで頂けました☺️✨
被せもの新しいのに変えたい、どんな種類があるか知りたい等
ご相談等ございましたらお気軽にお声掛け下さいね🫧