愛知県日進市赤池町箕ノ手2番地372
「箕の手中央」徒歩
1
分
駐車場
12
台あり
ご予約・お問い合わせ
052-846-3202
ホーム
クリニック紹介
院長・スタッフ紹介
診療内容
一般歯科
予防・メンテナンス
根管治療
口腔外科
マタニティ診療
入れ歯
歯周病治療
小児歯科
小児矯正
成人矯正
マウスピース矯正
インプラント
セラミック・審美治療
ホワイトニング
診療時間・アクセス
採用情報
トピックス
トピックス
TOPICS
24時間受付中
WEB予約
かんたん登録
LINE友だち
ホーム
クリニック紹介
院長・スタッフ紹介
診療内容
一般歯科
予防・メンテナンス
根管治療
口腔外科
マタニティ診療
入れ歯
歯周病治療
小児歯科
小児矯正
成人矯正
マウスピース矯正
インプラント
セラミック・審美治療
ホワイトニング
診療時間・アクセス
採用情報
トピックス
ホーム
クリニック紹介
院長・スタッフ紹介
診療内容
一般歯科
予防・メンテナンス
根管治療
口腔外科
マタニティ診療
入れ歯
歯周病治療
小児歯科
小児矯正
成人矯正
マウスピース矯正
インプラント
セラミック・審美治療
ホワイトニング
診療時間・アクセス
採用情報
トピックス
ご予約・お問い合わせ
052-846-3202
24時間受付中
WEB予約
かんたん登録
LINE友だち
« 前の記事へ
│記事一覧│
次の記事へ »
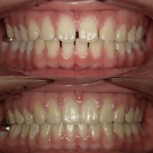
インビザライン矯正 症例写真
こんにちはohanadentalclinicです♪
院長先生が以前担当していた
患者様のインビザライン矯正の症例写真になります。
《 矯正期間 約1年半 》 1年半でここまで綺麗になりました🫦✨
歯並びが綺麗になることで自然と笑顔も増えますよね✨
歯並びでお悩みはございませんか?
・がたつきが気になる
・噛み合わせ
・受け口
・好き歯、出っ歯
・八重歯が気になる
当院は矯正相談も行っておりますのでお気軽にご相談下さいね☆
カレンダー
2026年1月
月
火
水
木
金
土
日
1
2
3
4
5
6
7
8
9
10
11
12
13
14
15
16
17
18
19
20
21
22
23
24
25
26
27
28
29
30
31
« 12月
2月 »
最新記事
練習中✨
新入社員歓迎会🥒✨
新しいスタッフが仲間になりました!😆
4月診療カレンダー
キッズルームに手づくりおもちゃ登場🎈
プレオルソご存知ですか?
定期検診受けていますか?👄
くいしばり😬してませんか?
看板がたちました🎵🎵
お子さまのお口のクセはありませんか?
カテゴリ
未分類